Стоматологическая клиника Denta-vias в Волжском районе

Популярные услуги

Акции и скидки

Ознакомиться с текущими акциями и предложениями Стоматологической клиники Denta-vias вы можете, связавшись с нами по телефону или в мессенджерах
Контактный номер
+7 (917) 021-77-... Показать
Мессенджеры

Подробнее о компании Denta-vias

Зачем мы обычно обращаемся в стоматологические клиники? Как правило, на это сподвигает острая зубная боль. В стоматологической клинике Denta-vias с особой заботой отнесутся к вашей проблеме. Передовые разработки в сфере стоматологии помогают нашему персоналу успешно лечить заболевания полости рта и сопутствующие недуги. Персонал стоматологической клиники Denta-vias специализируется на предоставлении услуг в сфере ортопедии.

Если вы всерьез решили добиться ровной и сверкающей улыбки, то следует доверить это профессионалам. В стоматологической клинике Denta-vias имеется все необходимое для того, чтобы ваши зубы засияли. Наши стоматологи готовы предоставить услуги лечения кариеса, удаления зубов, отбеливания, исправления прикуса, рентгенологической диагностики, а также установки металлокерамики, имплантов, виниров. С нашими специалистами ваша улыбка будет в надежных руках!

Ваш ребенок не любит зубного врача? В нашей стоматологии нет места детским страхам! Наши доктора настоящие профессионалы, они сумеют найти подход даже к самым недоверчивым пациентам.

Записаться на консультацию к нужному специалисту можно по указанным телефонам.

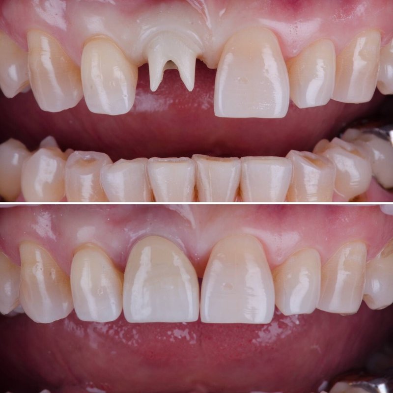
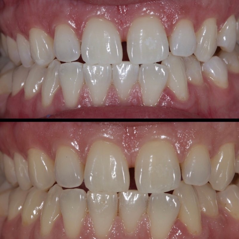
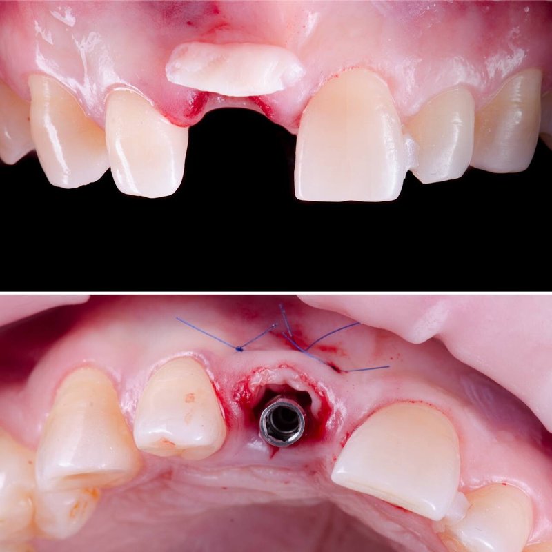
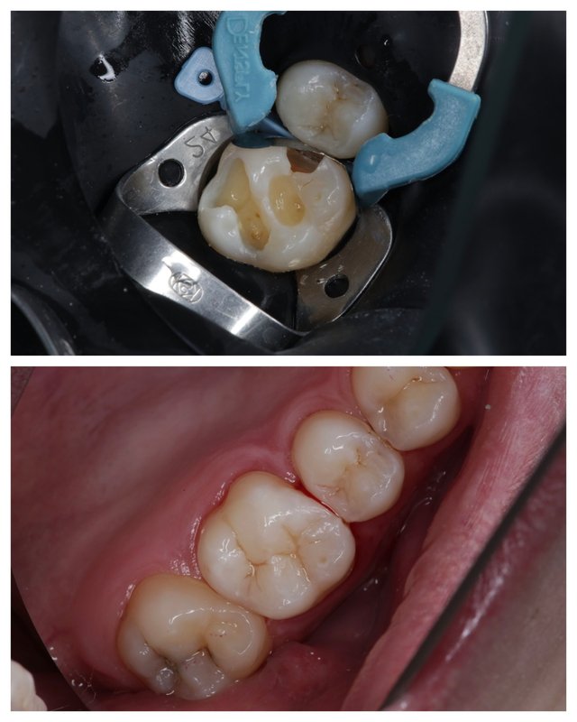
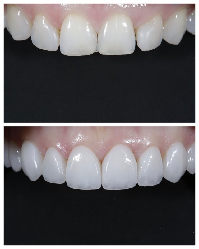
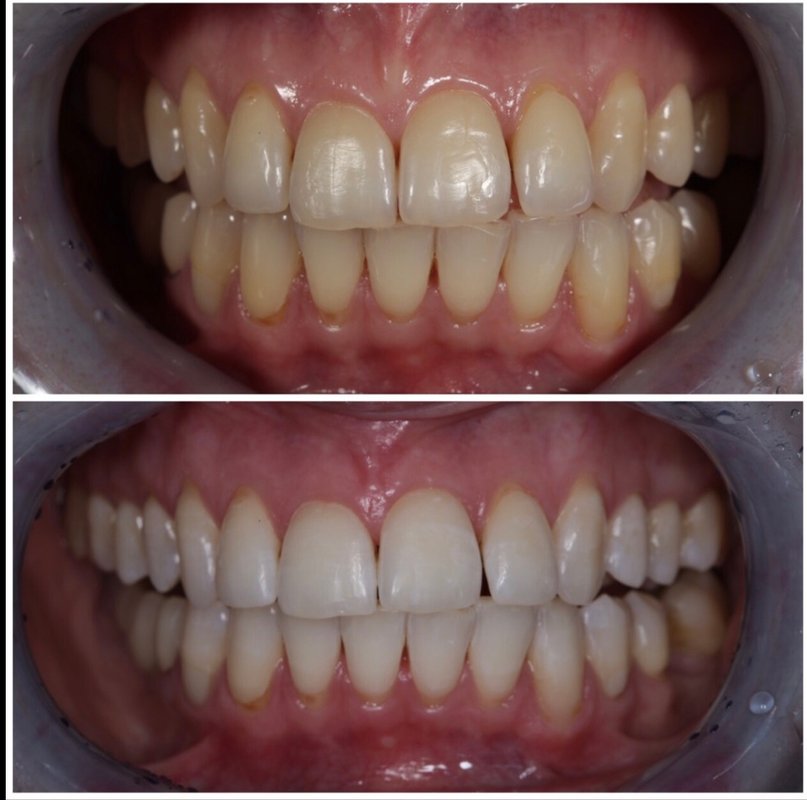
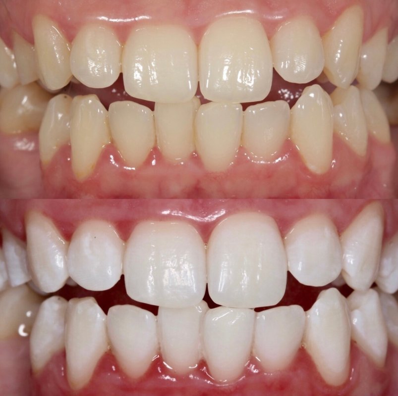
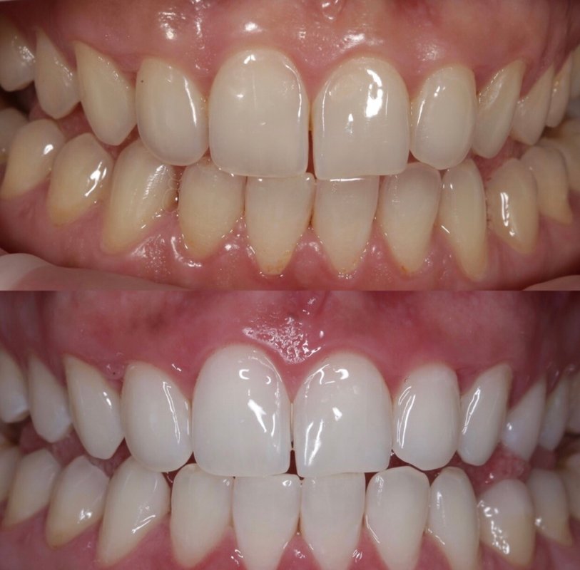
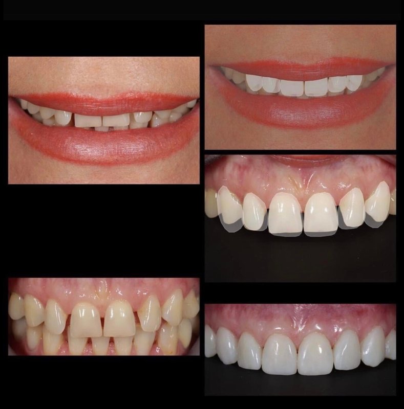
Фотогалерея

Специалисты

Никита Андреевич Батусов
Никита Андреевич Батусов

Батусов Никита Андреевич является стоматологом-ортопедом. Никита Батусов в том числе занимается изготовлением спортивных зубных капп, устанавливает виниры, металлокерамические и безметалловые протезы, вкладки, штифты и условно-съемные протезы, а также выполняет микропротезирование зубов, несъемное и съемное протезирование зубов и шинирование зубов. Вы можете записаться к Никите Батусову, если вам требуется заменить утраченный зуб или если какой-то из зубов разрушен до такой степени, что простая пломба ему не поможет. Протезирование предполагает обязательную санацию зубов, так что перед визитом к ортопеду стоит посетить стоматолога-терапевта.

Руслан Исаевич Джафаров
Руслан Исаевич Джафаров

Джафаров Руслан Исаевич является стоматологом-терапевтом, а также работает в сфере имплантологии и стоматологической хирургии. К нему приходят на прием, когда возникает необходимость вернуть целостность зубного ряда, сделать улыбку красивой и получить шанс снова качественно пережевывать твердую пищу. Руслан Джафаров, помимо этого, может помочь подобрать зубные импланты, а также профессионально провести все сопутствующие процедуры по подготовке и вживлению импланта в челюсть.

Сергей Андреевич Донских
Сергей Андреевич Донских

Донских Сергей Андреевич является ортодонтом. Размышляя о посещении стоматолога-ортодонта, важно не забывать, что неправильный прикус - не только эстетический изъян. Зубочелюстные деформации влияют на осанку, работу мышц шеи и даже на строение позвоночника. Ортодонтическая терапия требует много времени, но это каждый раз является важным вложением в собственное здоровье и качество жизни.

Дмитрий Павлович Димидов
Дмитрий Павлович Димидов

Димидов Дмитрий Павлович работает в сфере стоматологической хирургии. Помощь стоматолога-хирурга может понадобиться не только когда вы собрались удалить зуб, который невозможно восстановить. Дмитрий Димидов также производит лечение воспалительных болезней полости рта, удаление кист и даже эстетическая пластика десен.

Максим Александрович Данилов
Максим Александрович Данилов

Данилов Максим Александрович является стоматологом-ортопедом. Вы можете обратиться к Максиму Данилову, если вам необходимо восстановить утраченный зуб или если какой-то из зубов разрушен до такой степени, что простая пломба ему не поможет. Протезирование предполагает тщательную санацию зубов, поэтому перед обращением к ортопеду стоит посетить стоматолога-терапевта.

Роман Алекович Василиадис
Роман Алекович Василиадис

Василиадис Роман Алекович является стоматологом. Он помогает людям принимать взвешенные решения в отношении своего здоровья и обеспечивает им требуемую поддержку и помощь. К Роману Василиадису можно обратиться, если понадобилось разобраться в сложных медицинских вопросах, выявить причину недомогания, узнать о методах его терапии и профилактики.

София Нодариевна Кикава
София Нодариевна Кикава

Кикава София Нодариевна является стоматологом. Она помогает людям принимать верные решения в отношении своего здоровья и обеспечивает им требуемую помощь и поддержку. К Софии Кикаве стоит обратиться, если понадобилось разобраться в трудных медицинских вопросах, понять причину заболевания, узнать о способах его лечения и профилактики.

Анастасия Павловна Максимова
Анастасия Павловна Максимова

Максимова Анастасия Павловна является терапевтом. Именно к ней следует обратиться в первую очередь, если вас беспокоит ваше самочувствие. Анастасия Максимова является врачом общей практики, а это означает, что она знакома со всеми областями медицины и может распознавать и лечить недуги различных типов.

Отзывы

5,0
Антонина
У Александра Владимировича восстанавливала зубной ряд. Замечательный и внимательный врач. Специалист высочайшего уровня. Всё тщательно и аккуратно делает. Рада, что попала именно к нему. Протезы - супер.
17 марта 2024 Отзыв взят с сайта Zoon.ru
5,0
Альбина
Спасибо Резанову Александру Владимировичу! Мечтала о белоснежных зубах, но боялась делать отбеливание, и вот решилась! Обратилась к Александру Владимировичу по рекомендации подруги. Увидев потрясающий результат, мне тоже захотелось иметь белоснежную улыбку! Сказать о том, что я осталась под приятным впечатлением, ничего не сказать. Очень аккуратная работа. Улыбка моя теперь ничуть не хуже, чем у звезд с обложек журналов! Похоже я нашла своего врача! Спасибо
1 марта 2024 Отзыв взят с сайта Zoon.ru
5,0
Кристина
Перед установкой брекетов меня направили к Александру Резанову на консультацию и составления плана лечения. Была честно удивлена подходом, он мне рассказал, что в моей ситуации необходимо восстановить зубы до того как я приступлю к выравниванию зубов. Я была на нескольких консультациях до этого и не кто не заострял на этом внимание. А вообще все очень логично как можно поставить зуб ровно если он похож на пенёк после лечения. Спасибо большое за столь подробную и понятную консультацию.
19 февраля 2024 Отзыв взят с сайта Zoon.ru
5,0
Оксана Данилова
Обратилась за помощью по установке протеза. Решалась на эту процедуру несколько месяцев. Пришла на приём к Александру Владимировичу по совету знакомых. На приеме он рассказал как будет проходить процесс. Выбрали вариант протеза с опорой на импланты. Конечно процедура не самая приятная, но я перенесла её на удивление легко. Хирург поставил импланты через 4 месяца вернулась к Александр Владимировичу для установки протеза. Знаете я со съёмным протезом хожу уже давно и это первый который действительно крепко держится. Спасибо вам большое.
13 февраля 2024 Отзыв взят с сайта Zoon.ru
5,0
Александра Шемчук
Была на приеме у врача Резанова Александра Владимировича в декабре. У меня разрушался зуб и начал побаливать. Врач снял коронку, заменил пломбу, а потом установил коронку. Врач был очень аккуратен, и установка коронки и лечение прошли очень безболезненно и быстро. Заняло всего два визита. Хожу уже почти месяц с новым зубиком, и ничего не тревожит. Хочу сказать вам спасибо.
9 февраля 2024 Отзыв взят с сайта Zoon.ru
5,0
Владимир Двенятин
Хочу выразить искреннюю благодарность доктору Резанову Александру Владимировичу за его превосходное лечение и профессионализм. Обратился к нему с проблемой необходимости установки коронки на поврежденный зуб, и могу сказать, что это было одно из самых легких и безболезненных лечений за мою жизнь.
5 февраля 2024 Отзыв взят с сайта Zoon.ru
5,0
Василиса
Я обратилась для того чтобы решить мои проблемы с зубами. Решила заняться собственным здоровьем после рождения младшего. Александр Владимирович осмотрел меня написал направление на КТ. В следующий визит написал план лечения он включал лечение у терапевта и удаление у хирурга. К ним он меня и записал. Мне понравилось, что он очень подробно мне все рассказал и показал мои проблемы на снимке, я обычно смотрела снимки и нечего не понимала, что они там видят, но в этот раз даже мне было понятно. Первым делом мне сделали чистку. Далее я начала с самого неприятного для меня это удаление зубов мудрости, надо сказать боялась этого больше всего. Все прошло отлично, думала, что будет гораздо хуже. Потом мне вылечили 6 зубов. На два из них мне установил коронки Александр Владимирович. Мне очень понравилось, что он контролировал лечение и доктор с ним о чем то советовался но я не поняла о чем. Врач уточнял у меня как я чувствую себя после удаления, мне было приятно. В итоге все оказалось не так страшно как я думала. Спасибо вам большое. Доктора мне посоветовала подруга.
3 февраля 2024 Отзыв взят с сайта Zoon.ru
5,0
Василий
Отличный доктор отца ему приводил своего съемный сделал, дед доволен, отзывы писать не умеет меня попросил написать. Говорит скажи обязательно что держится хорошо и нечего не давит. Спасибо большое, цены высокие но отец доволен и это главное.
26 января 2024 Отзыв взят с сайта Zoon.ru
5,0
Ольга
Я обратилась к доктору за красивой улыбкой, внимательно осмотрел мои зубы, проконсультировал о том, что надо сделать,посчитали стоимость. Надеюсь к 8 марта буду с зубами 😊
25 января 2024 Отзыв взят с сайта Zoon.ru
5,0
Дарья
Мне было необходимо установить 4 коронки. Александр Владимирович очень профессионально и очень аккуратно все сделал. Очень переживала, но уже после первого визита поняла, что я в надежных руках и мне нечего бояться. Рекомендую доктора всем! Очень довольна результатом работы Александра Владимировича! Доктор внимательный, чуткий но с ним не похныкаешь хотя и повода для этого не было ;-) +5
24 января 2024 Отзыв взят с сайта Zoon.ru
5,0
Мария
Обратилась для того, чтобы восстановить зубы после родов и кормления ребенка. Доктор провел осмотр, все рассказал, составил план лечения. Я в восторге, прошло все комфортно, безболезненно, и теперь могу снова улыбаться и кушать без дискомфорта! Однозначно порекомендую своим друзьям и близким врача! Еще раз спасибо вам!
23 января 2024 Отзыв взят с сайта Zoon.ru
5,0
Ольга
Отличный доктор. Установил мне коронку на зуб на нижней челюсти. Не спеша провел все необходимые манипуляции, в процессе процедур по раз 10 уточнял, не больно ли. Доходчиво и терпеливо объяснил все необходимые действия.
21 января 2024 Отзыв взят с сайта Zoon.ru
5,0
Богдан
Сломал передний зуб обратился к доктору тот востановил как было, за что ему огромное спасибо. Что удивило он использльзовал кусок моего зуба и приклеил его обратно. Зуб внешне не отличить от оригинала. Был первый раз у данного доктора, посоветовали друзья, ожидания оправдались. Отличный доктор приду еще, хотя и не люблю я это дело
19 января 2024 Отзыв взят с сайта Zoon.ru
5,0
Ида
С детства боялась стоматологов, у Александра поняла, что может быть комфортно физически и морально. Отличный результат и лечения и профессиональной чистки, надеюсь на долгое сотрудничество ❤️
18 января 2024 Отзыв взят с сайта Zoon.ru
5,0
Артем
Отличный доктор, давно к нему хожу, много что было сделано но последние два года хожу только на проф гигиену. Два года назад Александр Владимирович сделал мне виниры за что я ему до сих пор очень благодарен. Недавно был на осмотре и проф гигиене. Как всегда все было на высшем уровне. Раньше ходил к нему в другую клинику изначально попал к нему по рекомендации знакомых, а теперь рекомендую его сам. Я очень боялся, что у стоматолога мне будет ужасно больно но с Александр Владимировичем я понял что может быть и не больно!
17 января 2024 Отзыв взят с сайта Zoon.ru
5,0
Алексей
Хочу выразить благодарность доктору. Не первый раз обращаюсь к данному доктору. В этот раз обращался по поводу отсутствующего зуба. Решили ставить имплант доктор спланировал имплантацию рассказал про преимущества и недостатки разным фирм направил хирургу который установил мне имплант к ему тоже респект имплантация прошла безболезненно, дня через 2 забыл, что мне и ставили имплант. Через три месяца обратился к Александру Владимировичу для установки коронки на имплант. Доктор провел сканирование челюстей и мои зубы появились у него на компьютере. Мне очень понравилось, что мне не снимали слепки так как не люблю данную процедуру потому что повышен рвотный рефлекс. Через неделю моя коронка была готова, устанавливали под анестезией после того как анестезия отошла понял что коронка как своя. Мне кажется, что она не чем не отличается от соседних зубов. Также спасибо технику который изготавливал коронку, правда не знаю как его зовут.
17 января 2024 Отзыв взят с сайта Zoon.ru
5,0
Ангелина
Отличный врач! Лечение качественное и бережное. Отдельно благодарю специалиста за заботливое отношение ко мне, как к немного трусливому пациенту:) Теперь лечить зубы хожу без страха.
4 мая 2023 Отзыв взят с сайта Zoon.ru
0,0
Анонимный пользователь
Пришлось лечится в этой клинике, сначала понравилось. Хвалила клинику. Потом с залеченным зубом начались проблемы, и оказалось из-за того, что при лечении не доложили какую-то прокладку! Из-за халатности врача лечение кариеса обернулось периодонтитом. ***! Я понимаю, что технологии могут быть разные, но я никогда не поверю, что в дорогой клинике они будут отсталыми лет на 10.
6 января 2016 Отзыв взят с сайта Zoon.ru
Удалить отзыв

Остались вопросы?

Вы можете воспользоваться любым из указанных способов связи
Контактный номер
+7 (917) 021-77-... Показать
Мессенджеры